Pune
08048030351
+919167512414

best dentist doctor in wadgaon sheri

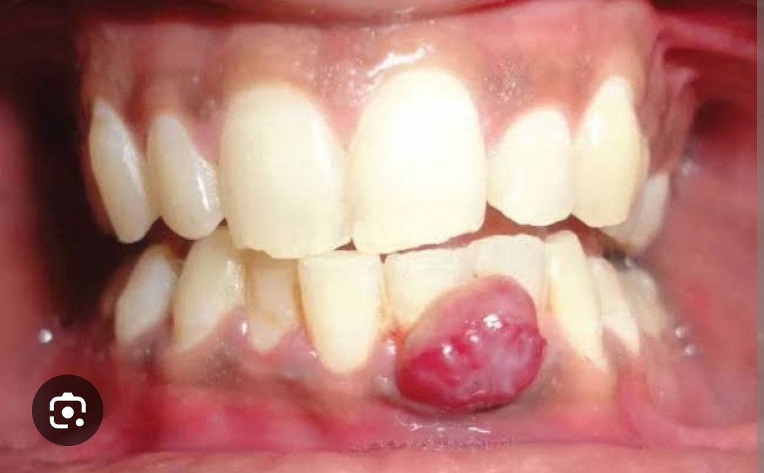
A Pyogenic granuloma is a benign (non-cancerous) skin growth that often appears as a small, red, rapidly growing bump that bleeds easily.

πŸ” What it looks like
Bright red, pink, or sometimes purple
Smooth or lobulated surface
Often moist and may bleed with minor trauma
Usually small (a few millimeters to ~2 cm)
Common sites: face, lips, gums, fingers
⚠️ Causes & risk factors

Despite the name, it is not caused by infection or pus. It’s linked to:

Minor injury or irritation (cuts, ingrown nails)
Hormonal changes (common in pregnancy)
Certain medications
Poor oral hygiene (if on gums)
🧠 Why it happens

It’s basically an overgrowth of tiny blood vessels (capillaries), which is why it looks red and bleeds easily.

πŸ‘©β€βš•οΈ Symptoms
Rapid growth over days to weeks
Frequent bleeding with slight touch
Usually painless, but can be tender
πŸ’Š Treatment options

Treatment depends on size, location, and symptoms:

Observation: Sometimes shrinks on its own (especially after pregnancy)
Cauterization (burning the lesion)
Surgical removal (excision)
Laser therapy
Topical medications (in some cases)

πŸ‘‰ Important: It may come back (recurrence) after treatment.

🚨 When to see a doctor
It bleeds frequently or heavily
Rapid increase in size
Uncertain diagnosis (to rule out other conditions)
Interferes with eating (if in mouth)
 2026-04-13T17:11:53

Keywords