Pune
08048030351
+919167512414

best dentist doctor in wadgaon sheri

update image
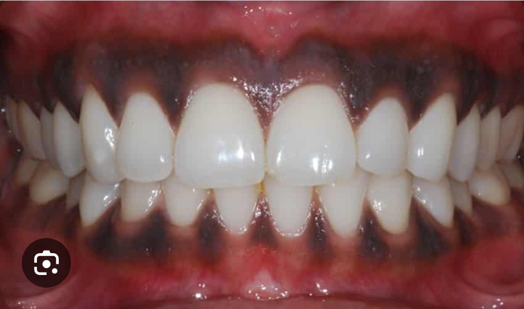
Gums can turn dark (brown, purplish, or blackish) for a number of harmless or medical reasons. Here are the most common:

1. Natural Pigmentation

Many people—especially those with darker skin tones—naturally have more melanin in their gums.

This causes brown or dark patches that are completely normal.

2. Smoking

Nicotine can stimulate melanin production in the gums, known as smoker’s melanosis.

Dark spots usually fade if you stop smoking.

3. Medication Side Effects

Certain medications can cause hyperpigmentation of the gums, including:

Some antimalarials

Minocycline (an antibiotic)

Hormonal medications

Chemotherapy drugs

4. Amalgam Tattoo

A small bluish-gray spot caused by dental filling material (amalgam) embedding in the gum.

Harmless but permanent unless removed.

5. Gum Disease

Inflammation or infection (gingivitis / periodontitis) can cause gums to appear darker or red-purple.

Usually accompanied by bleeding, swelling, or tenderness.

6. Hormonal Changes

Pregnancy, puberty, or hormonal therapies can increase melanin and darken gums.

7. Addison’s Disease or Other Medical Conditions

Rare endocrine disorders (like adrenal insufficiency) can cause darkening of gums and other mucous membranes.
 2025-12-08T17:33:41